PathoPic – image database / PathoPic ID 4338 - normaler Magenkorpus: Foveolae gastricae und Oberflächenepithel

de
Diagnose
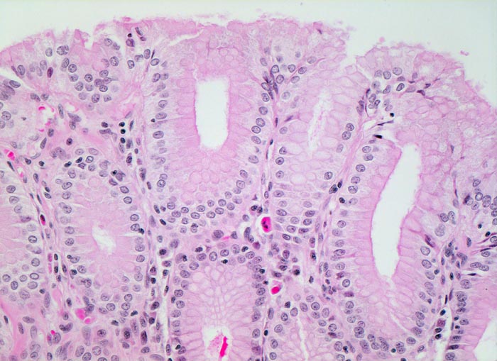
normaler Magenkorpus: Foveolae gastricae und Oberflächenepithel
Diagnose Gruppe
Normalbefund
Topographie
Magenkorpus
Topographie Gruppe
Oesophagus, Magen
Beschreibung
Oberfläche der Magenmukosa und Foveolae gastricae ausgekleidet durch muköse Oberflächenzellen mit basalen Kernen und reichlich blassem Zytoplasma und ebenfalls schleimbildenden Nebenzellen zum Drüsenhals hin. Zwischen den Foveolae sehr wenig Stroma (Lamina propria) mit vereinzelten Lymphozyten und Plasmazellen.
Klinik
Ösophaguskarzinom.
Bilder Typ
Histologie
Vergrösserung
200
Alter
64
Geschlecht
männlich
Datum
Ersteintrag: 05.04.2002
Update: 04.02.2024