Pathopic
HiPaKu
ZyPaKu
PathoBasic
PathoBasic Cytology
Quizzes
Projektinfos
PathoPic - Projekt- und Copyright-Infos
About
Pathopic
HiPaKu
ZyPaKu
PathoBasic
PathoBasic Cytology
Quizzes
PathoPic – image database
/
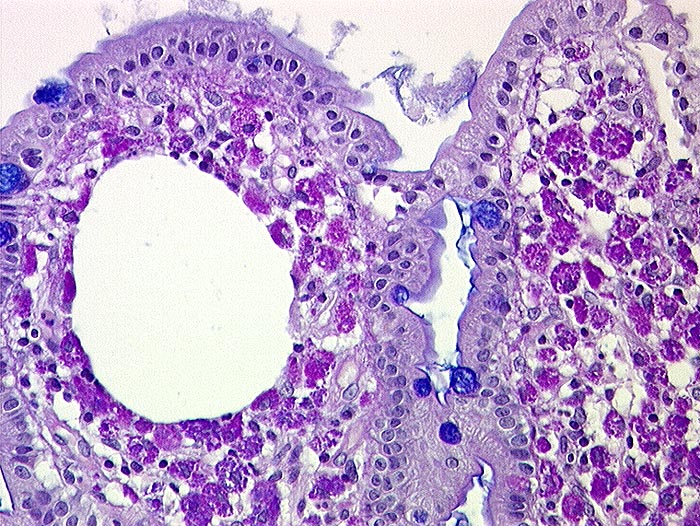
PathoPic ID 434 - Morbus Whipple
de
Diagnose
Morbus Whipple
Diagnose Gruppe
Entzündung infektiös
Topographie
Dünndarm
Topographie Gruppe
Darm, Anus
Beschreibung
Ektatisches Lymphgefäss in der Dünndarmzotten und massenhaft PAS positive Makrophagen im Stroma.
Zusatzbefund
Elektronenmikroskopisch Stäbchenbakterien in den Makrophagen. Ziehl Neelsen negativ.
Bilder Typ
Histologie
Alter
75
Geschlecht
männlich
Datum
Ersteintrag: 09.11.2001
Update: 04.02.2024
CPS
·
©
2024 Institut für Pathologie Basel
/
Dr. med. Katharina Glatz-Krieger
.
·
v2.1