PathoPic – image database / PathoPic ID 435 - Morbus Whipple

de
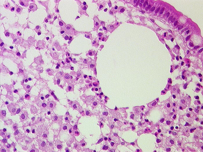
Diagnose
Morbus Whipple
Diagnose Gruppe
Entzündung infektiös
Topographie
Dünndarm
Topographie Gruppe
Darm, Anus
Beschreibung
Ektatisches Lymphgefäss in der Dünndarmzotten umgeben von einzelnen neutrophilen Granulozyten und Makrophagen.
Zusatzbefund
Elektronenmikroskopisch Stäbchenbakterien in den Makrophagen. Ziehl Neelsen negativ.
Bilder Typ
Histologie
Alter
75
Geschlecht
männlich
Datum
Ersteintrag: 09.11.2001
Update: 04.02.2024