PathoPic – image database / PathoPic ID 4378 - respiratorisches Epithel: Nasennebenhöhlenschleimhaut

de
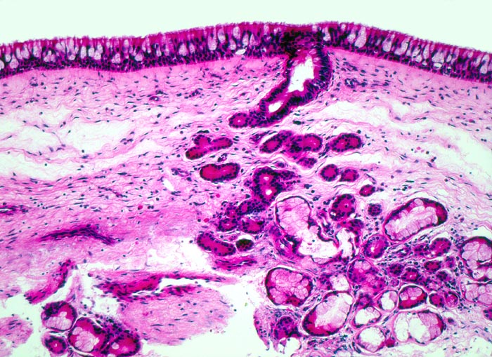
Diagnose
respiratorisches Epithel: Nasennebenhöhlenschleimhaut
Diagnose Gruppe
Normalbefund
Topographie
Sinus ethmoidalis
Topographie Gruppe
Kopf & Hals, Sinnesorgane
Beschreibung
Relativ dichtes weitgehend entzündungsfreies subepitheliales Stroma mit seromukösen Schleimdrüsen. Die Mukosa besteht aus einem mehrreihigen Epithel mit Flimmerzellen und Becherzellen.
Bilder Typ
Histologie
Alter
40
Geschlecht
unbekannt
Datum
Ersteintrag: 05.04.2002
Update: 04.02.2024