Pathopic
HiPaKu
ZyPaKu
PathoBasic
PathoBasic Cytology
Quizzes
Projektinfos
PathoPic - Projekt- und Copyright-Infos
About
Pathopic
HiPaKu
ZyPaKu
PathoBasic
PathoBasic Cytology
Quizzes
PathoPic – image database
/
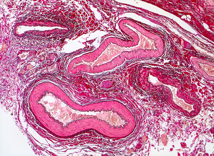
PathoPic ID 4381 - mittelgrosse Venen und Arterien
de
Diagnose
mittelgrosse Venen und Arterien
Diagnose Gruppe
Normalbefund
Topographie
Blutgefäss
Topographie Gruppe
Kardiovaskuläres System
Beschreibung
Perithyroidale Weichteile mit mehreren mittelgrossen
Arterien und begleitenden
Venen von ähnlicher Grösse.
Bilder Typ
Histologie
Vergrösserung
25
Alter
24
Geschlecht
männlich
Datum
Ersteintrag: 03.07.2002
Update: 04.02.2024
CPS
·
©
2024 Institut für Pathologie Basel
/
Dr. med. Katharina Glatz-Krieger
.
·
v2.1