PathoPic – image database / PathoPic ID 4392 - normales Magenantrum

de
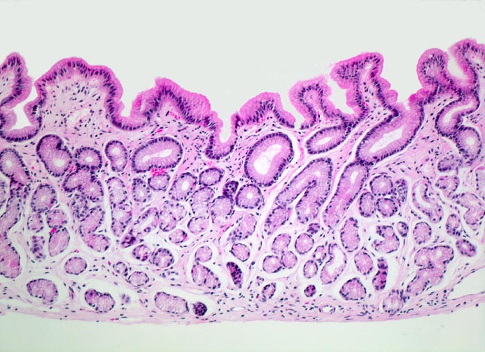
Diagnose
normales Magenantrum
Diagnose Gruppe
Normalbefund
Topographie
Magenantrum
Topographie Gruppe
Oesophagus, Magen
Beschreibung
Die Foveolae im Magenantrum sind tiefer als im Corpus (bis zu 50% der gesamten Mukosabreite). Die pylorischen Schleimdrüsen sind ausgekleidet durch hochprismatische Zellen mit hellem Zytoplasma. Die Lamina propria ist weitgehend frei von Entzündungszellen.
Bilder Typ
Histologie
Vergrösserung
100
Alter
55
Geschlecht
männlich
Datum
Ersteintrag: 15.04.2002
Update: 04.02.2024