PathoPic – image database / PathoPic ID 4400 - hepatozelluläres Karzinom

de
Diagnose
hepatozelluläres Karzinom
Diagnose Gruppe
maligner Tumor
Topographie
Leber
Topographie Gruppe
Leber, Gallenwege, Pankreas
Beschreibung
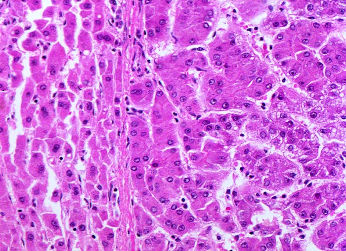
Der Tumor rechts im Bild wächst expansiv und komprimiert das angrenzende Parenchym. Eine fibröse Kapsel ist an der Tumorgrenze nicht erkennbar. Die zytologischen Atypien in diesem Karzinom sind gering ausgeprägt. Die Zellkerne sind fast gleich gross wie die der normalen Hepatozyten, enthalten aber teilweise grosse eosinophile Nukleolen. Die Kern-Zytoplasmarelation ist im Tumor leicht erhöht und das Zytoplasma ist leicht basophiler. Die Tumorzellen bilden Trabekel, welche teilweise mehr als 2 Zellen breit sind. Sowohl normale als auch neoplastische Zellen sind zum Teil feinvakuolär verfettet.
Klinik
Patient mit bekannter chronischer Hepatitis C. Bei einer sonographischen Kontrolluntersuchung wird ein 1cm grosser Knoten entdeckt. Das Alpha-Fetoprotein im Serum ist nicht erhöht.
Kommentar
Eine feintropfige Verfettung findet sich häufig bei chronischer Hepatitis C.
Hepatozelluläre Karzinome bilden im Gegensatz zu Adenomen oder gutartigen regenerativen Knoten Trabekel, welche mehr als 2 Zellen breit sind.
Bilder Typ
Histologie
Vergrösserung
200
Alter
58
Geschlecht
männlich
Datum
Ersteintrag: 06.10.2002
Update: 04.02.2024