PathoPic – image database / PathoPic ID 4403 - chronische Hepatitis C mit minimaler Aktivität

de
Diagnose
chronische Hepatitis C mit minimaler Aktivität
Diagnose Gruppe
maligner Tumor
Topographie
Leber
Topographie Gruppe
Leber, Gallenwege, Pankreas
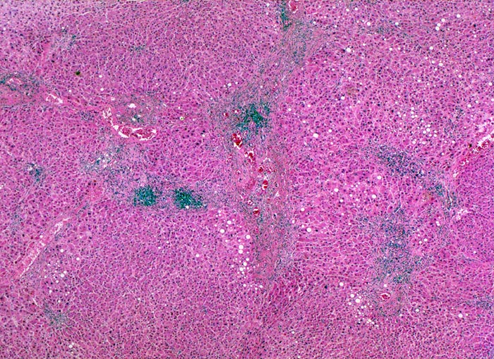
Beschreibung
Der Verlauf der Portalfelder ist an dichten lymphoiden Entzündungsinfiltraten erkennbar, welche zum Teil gebogen verlaufen. Dieser Verlauf deutet auf eine portoportale fibröse Septenbildung hin. Ein vollständiger zirrhotischer Umbau mit Knotenbildung liegt noch nicht vor.
Klinik
Patient mit bekannter chronischer Hepatitis C. Bei einer sonographischen Kontrolluntersuchung wird ein 1cm grosser Knoten entdeckt. Das Alpha-Fetoprotein im Serum ist nicht erhöht.
Kommentar
Das Ausmass der Fibrose wird bei chronischen viralen Hepatitiden als Staging angegeben. Dieses reicht von einer leichten Bindegewebsvermehrung in den Portalfeldern über eine portoportale Septenbildung und einen unvollständigen zirrhotischen Umbau bis zur voll etablierten Zirrhose. Es existieren verschiedene Grading- und Staging Systeme für die Bestimmung des Schweregrades einer chronischen viralen Hepatitis. Vor allem das Ausmass der Fibrose ist entscheidend für die Therapieindikation.
Bilder Typ
Histologie
Vergrösserung
25
Alter
58
Geschlecht
männlich
Datum
Ersteintrag: 15.04.2002
Update: 04.02.2024