PathoPic – image database / PathoPic ID 4422 - hepatozelluläres Karzinom mit Tumornekrosen

de
Diagnose
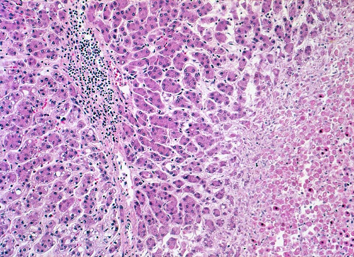
hepatozelluläres Karzinom mit Tumornekrosen
Diagnose Gruppe
maligner Tumor
Topographie
Leber
Topographie Gruppe
Leber, Gallenwege, Pankreas
Beschreibung
Die Tumortrabekel sind in diesem Tumorabschnitt lediglich zwei Zellen breit. Lediglich die minimalen Zellatypien (verminderte Menge basophiles Zytoplasma, geringe Kernatypien) ermöglichen die Unterscheidung von einem Leberzelladenom. Das Tumorgewebe enthält fibröse entzündlich infiltrierte Septen mit Gefässen. Portalfelder mit Gallengängen fehlen. Das nekrotische Tumorgewebe ist heller gefärbt.
Klinik
Patient mit bekannter chronischer Hepatitis C. Bei einer sonographischen Kontrolluntersuchung wird ein 1cm grosser Knoten entdeckt. Das Alpha-Fetoprotein im Serum ist nicht erhöht.
Bilder Typ
Histologie
Vergrösserung
100
Alter
58
Geschlecht
männlich
Datum
Ersteintrag: 18.04.2002
Update: 04.02.2024