Pathopic
HiPaKu
ZyPaKu
PathoBasic
PathoBasic Cytology
Quizzes
Projektinfos
PathoPic - Projekt- und Copyright-Infos
About
Pathopic
HiPaKu
ZyPaKu
PathoBasic
PathoBasic Cytology
Quizzes
PathoPic – image database
/
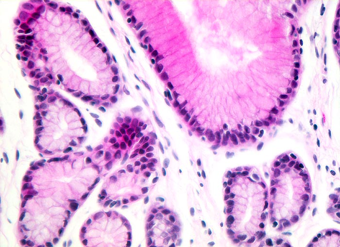
PathoPic ID 4423 - normales Magenantrum
de
Diagnose
normales Magenantrum
Diagnose Gruppe
Normalbefund
Topographie
Magenantrum
Topographie Gruppe
Oesophagus, Magen
Beschreibung
Das
foveoläre Epithel ist etwas höher als das Epithel der antralen
Schleimdrüsen. Das Stroma der Lamina propria enthält spindelige Fibroblasten und nur ganz vereinzelte Lymphozyten mit kleinen runden Kernen.
Bilder Typ
Histologie
Vergrösserung
200
Alter
55
Geschlecht
männlich
Datum
Ersteintrag: 15.04.2002
Update: 04.02.2024
CPS
·
©
2024 Institut für Pathologie Basel
/
Dr. med. Katharina Glatz-Krieger
.
·
v2.1