Pathopic
HiPaKu
ZyPaKu
PathoBasic
PathoBasic Cytology
Quizzes
Projektinfos
PathoPic - Projekt- und Copyright-Infos
About
Pathopic
HiPaKu
ZyPaKu
PathoBasic
PathoBasic Cytology
Quizzes
PathoPic – image database
/
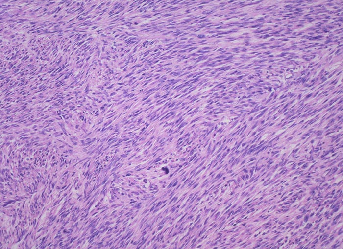
PathoPic ID 4435 - uterines Leiomyosarkom
de
Diagnose
uterines Leiomyosarkom
Diagnose Gruppe
maligner Tumor
Topographie
Uterus
Topographie Gruppe
Genitalorgane, weiblich
Beschreibung
Zu breiten Bündeln angeordnete Tumorzellen mit geringen Kernatypien.
Mitosen.
Klinik
Die Patientin sucht wegen postmenopausaler Blutung den Gynäkologen auf. Dieser palpiert einen stark vergrösserten Uterus.
Bilder Typ
Histologie
Vergrösserung
100
Alter
64
Geschlecht
unbekannt
Datum
Ersteintrag: 06.10.2002
Update: 04.02.2024
CPS
·
©
2024 Institut für Pathologie Basel
/
Dr. med. Katharina Glatz-Krieger
.
·
v2.1