PathoPic – image database / PathoPic ID 4438 - Fibroleiomyom

de
Diagnose
Fibroleiomyom
Diagnose Gruppe
benigner Tumor
Topographie
Uterus
Topographie Gruppe
Genitalorgane, weiblich
Beschreibung
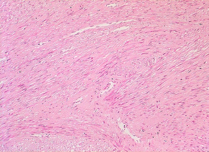
Die glattmuskulären Tumorzellen bilden geflechtartig verwobene, teils orthogonal, teils längs verlaufende Bündel. Zwischen den Tumorzellen verlaufen unterschiedlich breite zellarme Kollagenfaserzüge.
Zusatzbefund
Vergrösserter 258g schwerer Uterus mit multiplen weissen, derben scharf begrenzten, teils intramuralen und teils submukös gelegenen Knoten.
Klinik
Vaginale Hysterektomie wegen Meno-Metrorrhagien.
Bilder Typ
Histologie
Vergrösserung
100
Alter
48
Geschlecht
unbekannt
Datum
Ersteintrag: 16.04.2002
Update: 04.02.2024