PathoPic – image database / PathoPic ID 4454 - gutartiges reifes Teratom: Schilddrüsengewebe

de
Diagnose
gutartiges reifes Teratom: Schilddrüsengewebe
Diagnose Gruppe
benigner Tumor
Topographie
Ovar
Topographie Gruppe
Genitalorgane, weiblich
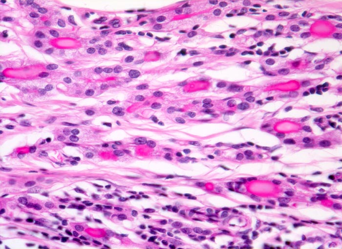
Beschreibung
Kleine Schilddrüsenfollikel enthalten dunkelrotes Kolloid.
Zusatzbefund
Ovar mit 8cm grossem prallelastischem Tumor mit glatter Oberfläche. Bei der Eröffnung des zystischen Tumors quellen Haare hervor, welche von Talgmassen durchsetzt sind. Auf der Zysteninnenseite haftet ein behaarter Knoten von 2cm Durchmesser mit fokalen Verkalkungen und lipomatösem Stroma (sogenannter Kopfhöcker).
Klinik
Palpabler Tumor im linken Unterbauch, Druckgefühl verursachend.
Kommentar
Reife Teratome, welche praktisch ausschliesslich aus Schilddrüsengewebe bestehen bezeichnet man als Struma ovarii. Innerhalb dieser Struma ovarii kann sich ausserdem ein strumales Karzinoid entwickeln.
Bilder Typ
Histologie
Vergrösserung
320
Alter
24
Geschlecht
unbekannt
Datum
Ersteintrag: 15.04.2002
Update: 04.02.2024