PathoPic – image database / PathoPic ID 4456 - gutartiges reifes Teratom: Entzündungsreaktion

de
Diagnose
gutartiges reifes Teratom: Entzündungsreaktion
Diagnose Gruppe
benigner Tumor
Topographie
Ovar
Topographie Gruppe
Genitalorgane, weiblich
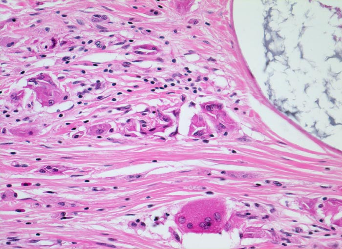
Beschreibung
Fremdkörperriesenzellen mit phagozytierten Hornschuppen und Lymphozyten in fibrosiertem Stroma angrenzend an eine Pseudozyste ohne Epithelauskleidung.
Zusatzbefund
Ovar mit 8cm grossem prallelastischem Tumor mit glatter Oberfläche. Bei der Eröffnung des zystischen Tumors quellen Haare hervor, welche von Talgmassen durchsetzt sind. Auf der Zysteninnenseite haftet ein behaarter Knoten von 2cm Durchmesser mit fokalen Verkalkungen und lipomatösem Stroma (sogenannter Kopfhöcker).
Klinik
Palpabler Tumor im linken Unterbauch, Druckgefühl verursachend.
Kommentar
Entzündliche Reaktionen finden sich fokal als Reaktion auf rupturierte epidermale Zysten. Die Riesenzellen räumen freigewordenes Hornmaterial ab.
Bilder Typ
Histologie
Vergrösserung
200
Alter
24
Geschlecht
unbekannt
Datum
Ersteintrag: 06.10.2002
Update: 04.02.2024