PathoPic – image database / PathoPic ID 4479 - mikroinvasives serös papilläres Ovarialkarzinom

de
Diagnose
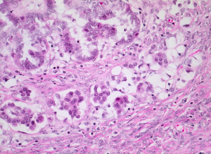
mikroinvasives serös papilläres Ovarialkarzinom
Diagnose Gruppe
maligner Tumor
Topographie
Ovar
Topographie Gruppe
Genitalorgane, weiblich
Beschreibung
An umschriebener Stelle invadieren kleinere Zellgruppen und Einzelzellen das an dieser Stelle aufgelockerte Stroma.
Bilder Typ
Histologie
Vergrösserung
200
Alter
24
Geschlecht
unbekannt
Datum
Ersteintrag: 15.04.2002
Update: 04.02.2024