PathoPic – image database / PathoPic ID 4492 - Carcinoma in situ (CIN III) des Plattenepithels

de
Diagnose
Carcinoma in situ (CIN III) des Plattenepithels
Diagnose Gruppe
Präneoplasie/ Atypie/ Dignität?
Topographie
Portio
Topographie Gruppe
Genitalorgane, weiblich
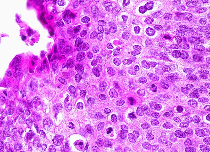
Beschreibung
Dicht und unregelmässig gelagerte vergrösserte Kerne in der gesamten Epithelbreite. Das Kernchromatin ist vergröbert und die Kernmembran ist nicht glatt, sondern feinhöckrig.
Klinik
Im Portioabstrich anlässlich einer gynäkologischen Kontrolle Pap V, Hysterektomie
Bilder Typ
Histologie
Vergrösserung
400
Alter
41
Geschlecht
unbekannt
Datum
Ersteintrag: 15.04.2002
Update: 04.02.2024