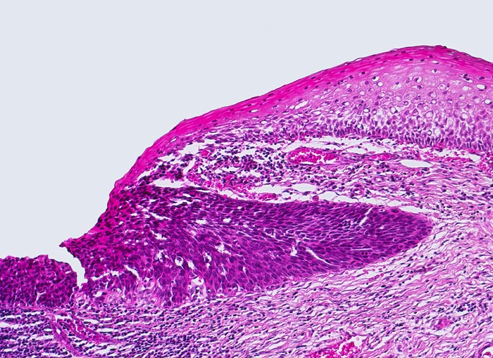
Abrupter Übergang von nicht dysplastisch verändertem Plattenepithel in schwer dysplastisches Epithel. Im dysplastischen Epithel gleichen alle Zellen den Basalzellen im normalen Epithel. Im normalen Epithel zeigen die luminal gelegenen Zellen deutlich mehr Zytoplasma und kleinere Kerne als die tiefer gelegenen Zellen. Die oberste Schicht besteht aus flachen Zellen mit pyknotischen Kernen und dunkelrotem Zytoplasma ( Parakeratose).
Klinik
Im Portioabstrich anlässlich einer gynäkologischen Kontrolle PapV, Hysterektomie