Leber bei mechanischem extrahepatischem Verschlussikterus
Diagnose Gruppe
organspezifische Erkrankung
Topographie
Leber
Topographie Gruppe
Leber, Gallenwege, Pankreas
Beschreibung
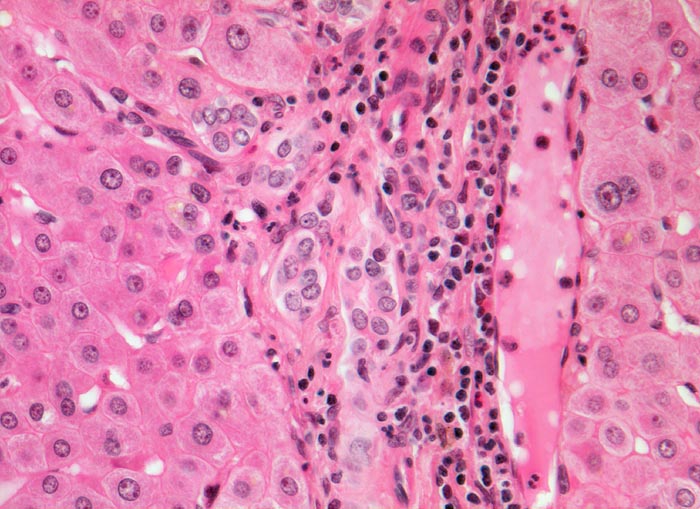
In der Zone 1 rund um das Portalfeld sind keine Galleablagerungen erkennbar. Das Portalfeld zeigt ein gemischtes Entzündungsinfiltrat. Am Rand des Portalfeldes proliferierte Ductuli umgeben von neutrophilen Granulozyten.
Klinik
Patient mit Sklerenikterus seit 3 Wochen. Bekannte Cholezystolithiasis mit rechtsseitigen Oberbauchbeschwerden.
Kommentar
Bei kurzdauerndem extrahepatischem mechanischem Verschluss finden sich Galleablagerungen zunächst nur in der Zone 3. Das Portalfeld zeigt noch kein Ödem und keine Fibrose.