Leber bei mechanischem extrahepatischem Verschlussikterus
Diagnose Gruppe
organspezifische Erkrankung
Topographie
Leber
Topographie Gruppe
Leber, Gallenwege, Pankreas
Beschreibung
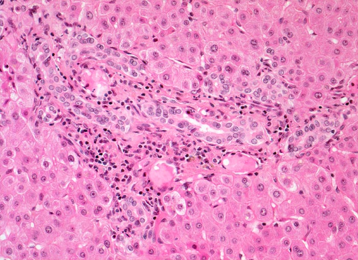
In der Zone 1 rund um das Portalfeld sind keine Galleablagerungen erkennbar. Das Portalfeld in der Bildmitte zeigt ein gemischtes Entzündungsinfiltrat. Ductulusproliferation am Rand des Portalfeldes.
Klinik
Patient mit Sklerenikterus seit 3 Wochen. Bekannte Cholezystolithiasis mit rechtsseitigen Oberbauchbeschwerden.
Kommentar
Differentialdiagnostisch muss im vorliegenden Fall an die Möglichkeit einer medikamentös bedingte Cholestase gedacht werden (Bsp. Antibiotika). Bei einer medikamentös bedingten Cholestase sind die Ductulusproliferationen aber meist deutlich weniger ausgeprägt.