PathoPic – image database / PathoPic ID 4499 - chronische Bursitis

de
Diagnose
chronische Bursitis
Diagnose Gruppe
Entzündung / Reparatur
Topographie
Bursa praepatellaris
Topographie Gruppe
Weichteile
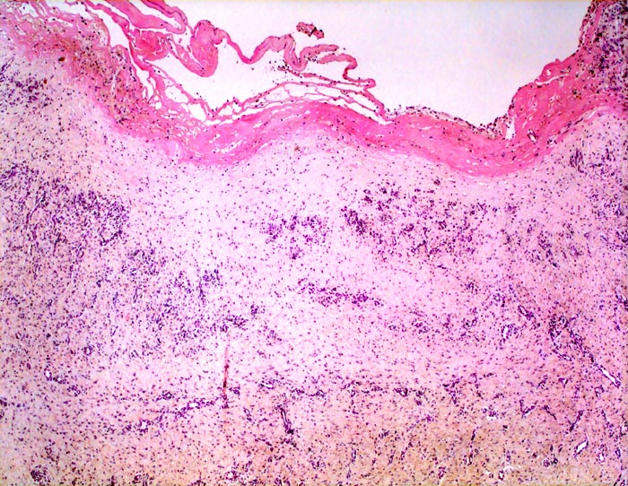
Beschreibung
Bursawand fibrös (= narbig) verdickt. Der Bursainnenseite aufgelagerter Fibrinpelz. Bursawand mit Organisationsgewebe mit vielen bäumchenartig gewucherten kapillären Gefässen, dazwischen zellarmes Narbengewebe.
Klinik
Exzision der Bursa präpatellaris eines Plattenlegers wegen zunehmender Schmerzen in der Patellargegend bei knieender Tätigkeit und rezidivierenden druckschmerzhaften Weichteilschwellungen über dem rechten Knie.
Kommentar
Der anatomische Aufbau der Bursa entspricht dem einer Gelenkkapsel oder Sehnenscheide; von innen nach aussen:
- Ein- bis zweischichtige Zellschicht aus Synoviozyten
- Lockeres, zell- und gefässreiches Stratum synoviale
- Straffes Stratum fibrosum
Bilder Typ
Histologie
Vergrösserung
25
Alter
43
Geschlecht
männlich
Datum
Ersteintrag: 15.04.2002
Update: 04.02.2024