PathoPic – image database / PathoPic ID 4503 - Morbus Paget des Knochens

de
Diagnose
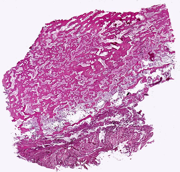
Morbus Paget des Knochens
Diagnose Gruppe
Entzündung infektiös
Topographie
Knochen, Tibia
Topographie Gruppe
Knochen, Knorpel, Gelenke
Beschreibung
Die Spongiosabälkchen sind auffallend verdickt und unregelmässig geformt.
Klinik
Die Patientin hatte wiederholt über Knieschmerzen geklagt. Autoptisch zeigte das Kniegelenk eine leichte Arthrose. Aus der auffallend verdickten Tibia wurde eine Gewebsprobe zur Untersuchung entnommen.
Bilder Typ
Histologie
Vergrösserung
Scan
Alter
87
Geschlecht
unbekannt
Datum
Ersteintrag: 09.06.2002
Update: 04.02.2024