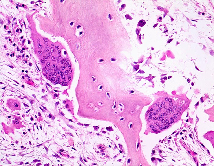
Pathologisch gesteigerter Knochenumbau: Riesenosteoklasten mit sehr zahlreichen Kernen bauen das Knochengewebe ab. Gleichzeitig finden sich auch vermehrte kubische aktive Osteoblasten, welche Knochen anbauen. Das Mark zeigt eine lockere Fibrose.
Klinik
Die Patientin hatte wiederholt über Knieschmerzen geklagt. Autoptisch zeigte das Kniegelenk eine leichte Arthrose. Aus der auffallend verdickten Tibia wurde eine Gewebsprobe zur Untersuchung entnommen.