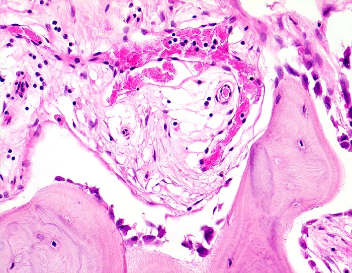
Zone mit gesteigertem Knochenanbau. Das Spongiosabälkchen ist von einer Osteoblastentapete bedeckt, welche neuen Knochen anbauen. Das Mark zeigt eine lockere Fibrose mit vermehrten kapillären Gefässen.
Klinik
Die Patientin hatte wiederholt über Knieschmerzen geklagt. Autoptisch zeigte das Kniegelenk eine leichte Arthrose. Aus der auffallend verdickten Tibia wurde eine Gewebsprobe zur Untersuchung entnommen.