PathoPic – image database / PathoPic ID 4506 - Morbus Paget des Knochens

de
Diagnose
Morbus Paget des Knochens
Diagnose Gruppe
Entzündung infektiös
Topographie
Knochen, Tibia
Topographie Gruppe
Knochen, Knorpel, Gelenke
Beschreibung
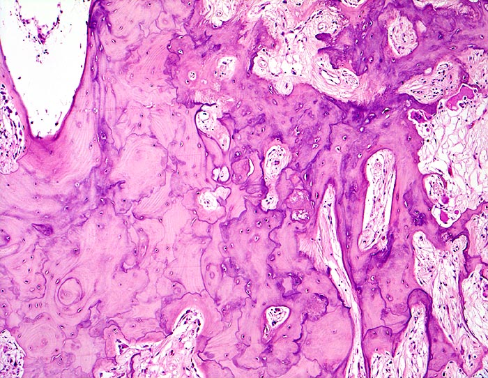
Verbreiterte unregelmässig geformte Spongiosabälkchen mit mosaikartig verlaufenden Kittlinien. Markfibrose. Auffallend grosse Resorptionslakunen mit grossen Osteoklasten.
Klinik
Die Patientin hatte wiederholt über Knieschmerzen geklagt. Autoptisch zeigte das Kniegelenk eine leichte Arthrose. Aus der auffallend verdickten Tibia wurde eine Gewebsprobe zur Untersuchung entnommen.
Kommentar
Für die histologische Diagnose eines Morbus Paget sind folgende Strukturen entscheidend:
Riesenosteoklasten mit mehr als 12 Zellkernen pro Osteoklast
grosse Resorptionslakunen
stimulierte Osteoblasten
milde Endostfibrose
girlandenartig verlaufende Kittlinien
Bilder Typ
Histologie
Vergrösserung
50
Alter
87
Geschlecht
unbekannt
Datum
Ersteintrag: 09.06.2002
Update: 04.02.2024