PathoPic – image database / PathoPic ID 4515 - Ewing-Sarkom

de
Diagnose
Ewing-Sarkom
Diagnose Gruppe
maligner Tumor
Topographie
Weichteile Bein
Topographie Gruppe
Weichteile
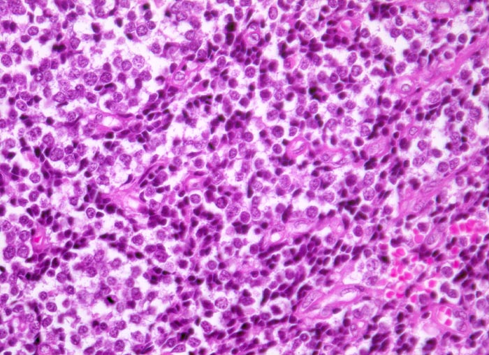
Beschreibung
Mischung von kleinen runden Zellen und gequetschten dunkler färbenden Zellen. Zwischen den Tumorzellen kleine Blutgefässe.
Klinik
Zunehmende Schmerzen im rechten Oberschenkel mit Weichteilschwellung- und Erwärmung seit mehreren Monaten. Keine Traumaanamnese. Klinisch wird zunächst eine Osteomyelitis vermutet.
Bilder Typ
Histologie
Vergrösserung
320
Alter
12
Geschlecht
männlich
Datum
Ersteintrag: 15.04.2002
Update: 04.02.2024