Pathopic
HiPaKu
ZyPaKu
PathoBasic
PathoBasic Cytology
Quizzes
Projektinfos
PathoPic - Projekt- und Copyright-Infos
About
Pathopic
HiPaKu
ZyPaKu
PathoBasic
PathoBasic Cytology
Quizzes
PathoPic – image database
/
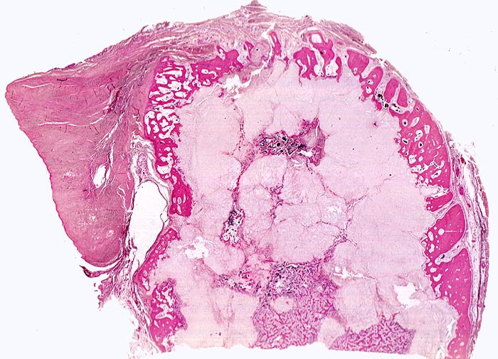
PathoPic ID 4518 - Chondrosarkom
de
Diagnose
Chondrosarkom
Diagnose Gruppe
maligner Tumor
Topographie
Knochen, Rippe
Topographie Gruppe
Knochen, Knorpel, Gelenke
Beschreibung
In der Übersicht ist ein heller, zellarmer lobulierter Tumor erkennbar.
Zungenförmige Tumorausläufer infiltrieren die angrenzende Kortikalis.
Klinik
Umschriebene Schmerzen im Bereich des Rippen-Thorax seit über einem Jahr.
Bilder Typ
Histologie
Vergrösserung
Scan
Alter
58
Geschlecht
männlich
Datum
Ersteintrag: 06.10.2002
Update: 04.02.2024
CPS
·
©
2024 Institut für Pathologie Basel
/
Dr. med. Katharina Glatz-Krieger
.
·
v2.1