PathoPic – image database / PathoPic ID 4520 - hoch differenziertes Chondrosarkom

de
Diagnose
hoch differenziertes Chondrosarkom
Diagnose Gruppe
maligner Tumor
Topographie
Knochen, Rippe
Topographie Gruppe
Knochen, Knorpel, Gelenke
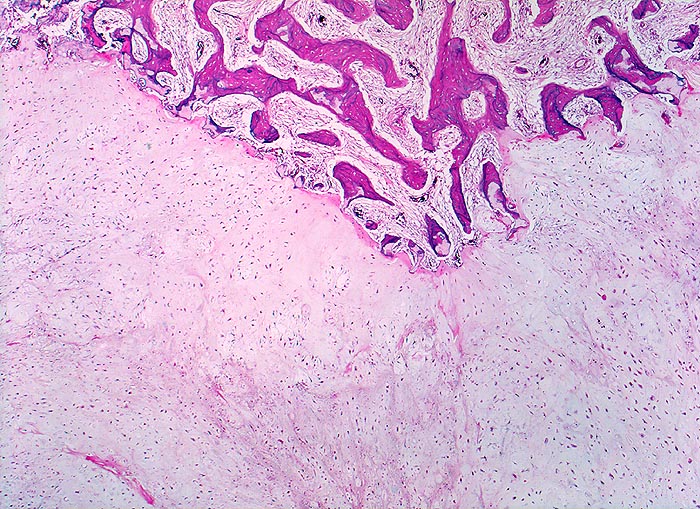
Beschreibung
Das Tumorgewebe (untere Bildhälfte) bildet reichlich helle chondroide Matrix. Die Zellularität im Tumor ist im Vergleich zu normalem Knorpel leicht erhöht und die Tumorzellen erscheinen etwas grösser als normale Chondrozyten. Das angrenzende Knochengewebe zeigt eine reaktive Markfibrose. An der Invasionsfront infiltriert und destruiert das Sarkom die Spongiosabälkchen.
Klinik
Umschriebene Schmerzen im Bereich des Rippen-Thorax seit über einem Jahr.
Bilder Typ
Histologie
Vergrösserung
25
Alter
58
Geschlecht
männlich
Datum
Ersteintrag: 09.06.2002
Update: 04.02.2024