PathoPic – image database / PathoPic ID 4522 - Chondrosarkom: Invasion der Kortikalis

de
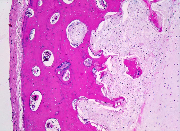
Diagnose
Chondrosarkom: Invasion der Kortikalis
Diagnose Gruppe
maligner Tumor
Topographie
Knochen, Rippe
Topographie Gruppe
Knochen, Knorpel, Gelenke
Beschreibung
Kortikaler Knochen bedeckt von Periost. Das Sarkom (rechts im Bild) infiltriert und destruiert die Kortikalis. Im Bereich der Invasionsfront ist die Zellularität leicht gesteigert.
Klinik
Umschriebene Schmerzen im Bereich des Rippen-Thorax seit über einem Jahr.
Bilder Typ
Histologie
Vergrösserung
50
Alter
58
Geschlecht
männlich
Datum
Ersteintrag: 09.06.2002
Update: 04.02.2024