PathoPic – image database / PathoPic ID 4523 - hoch differenziertes Chondrosarkom

de
Diagnose
hoch differenziertes Chondrosarkom
Diagnose Gruppe
maligner Tumor
Topographie
Knochen, Rippe
Topographie Gruppe
Knochen, Knorpel, Gelenke
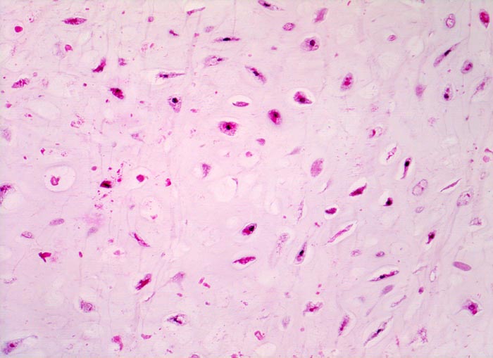
Beschreibung
Die Tumorzellen liegen etwas dichter als in normalem Knorpel, die Kerne sind dicht und leicht vergrössert. Mitosen sind nicht nachweisbar. Die Tumorzellen bilden reichlich chondroide Matrix.
Klinik
Umschriebene Schmerzen im Bereich des Rippen-Thorax seit über einem Jahr.
Bilder Typ
Histologie
Vergrösserung
200
Alter
58
Geschlecht
männlich
Datum
Ersteintrag: 09.06.2002
Update: 04.02.2024