PathoPic – image database / PathoPic ID 4533 - fibrinöse Perikarditis

de
Diagnose
fibrinöse Perikarditis
Diagnose Gruppe
Entzündung / Reparatur
Topographie
Perikard
Topographie Gruppe
Körperhöhlen, Serosa
Beschreibung
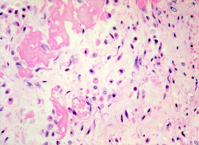
Lockeres ödematöses Granulationsgewebe mit kapillären Gefässen, Histiozyten (Gewebsmakrophagen) und Fibroblasten organisieren die Fibrinauflagerungen.
Klinik
Patientin verstorben in Urämie.
Bilder Typ
Histologie
Vergrösserung
320
Alter
87
Geschlecht
unbekannt
Datum
Ersteintrag: 06.10.2002
Update: 04.02.2024