PathoPic – image database / PathoPic ID 4537 - Endocarditis ulcero-polyposa der Aortenklappe

de
Diagnose
Endocarditis ulcero-polyposa der Aortenklappe
Diagnose Gruppe
Entzündung infektiös
Topographie
Aortenklappe
Topographie Gruppe
Kardiovaskuläres System
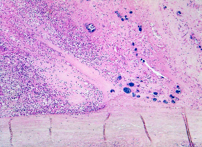
Beschreibung
Dem fibrösen Klappengerüst aufgelagerte Klappenvegetation bestehend aus Fibrin, neutrophilen Granulozyten und herdförmig eingelagerten blauen Bakterienrasen.
Klinik
Akut einsetzendes Krankheitsbild mit Fieber, Schüttelfrost, Müdigkeit und Dyspnoe. Blutkulturen wiederholt positiv für Staphylokokkus aureus. Keine Klappenvorschädigung bekannt.
Bilder Typ
Histologie
Vergrösserung
50
Alter
82
Geschlecht
männlich
Datum
Ersteintrag: 15.04.2002
Update: 04.02.2024