PathoPic – image database / PathoPic ID 4540 - Endocarditis ulcero-polyposa der Aortenklappe

de
Diagnose
Endocarditis ulcero-polyposa der Aortenklappe
Diagnose Gruppe
Entzündung infektiös
Topographie
Aortenklappe
Topographie Gruppe
Kardiovaskuläres System
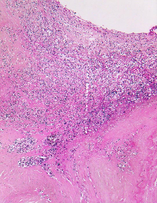
Beschreibung
In dem Zwickel zwischen noch erhaltener Klappe und Polyp beginnende Granulationsgewebsbildung.
Klinik
Akut einsetzendes Krankheitsbild mit Fieber, Schüttelfrost, Müdigkeit und Dyspnoe. Blutkulturen wiederholt positiv für Staphylokokkus aureus. Keine Klappenvorschädigung bekannt.
Bilder Typ
Histologie
Vergrösserung
50
Alter
82
Geschlecht
männlich
Datum
Ersteintrag: 15.04.2002
Update: 04.02.2024