PathoPic – image database / PathoPic ID 4547 - aethylische Leberzirrhose

de
Diagnose
aethylische Leberzirrhose
Diagnose Gruppe
Therapiefolgen
Topographie
Leber
Topographie Gruppe
Leber, Gallenwege, Pankreas
Beschreibung
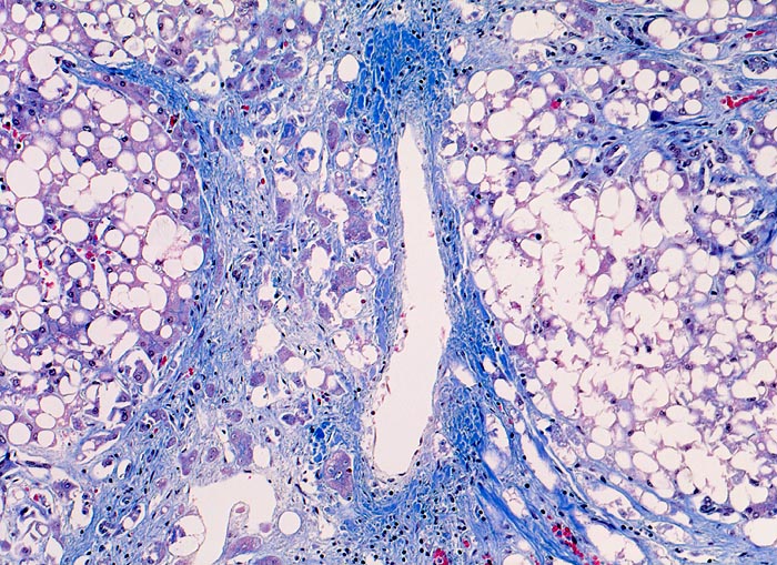
Parenchymknoten ( Pseudolobuli) 1-2 mm im Durchmesser sind von (blauen) Bindegewebsringen umgeben. Die Knoten sind monolobulär, d.h. ohne Zentralvenen oder Portalfelder. Die ursprünglichen Zentralvenen und Portalfelder sind eingemauert in das stark vermehrte, ringförmig angeordnete Bindegewebe. Das knotige Parenchym ist diffus grobtropfig verfettet. Schon in der Übersicht sind Mallory Körper erkennbar.
Klinik
Seit Jahren Konsum von 1l Wein täglich
Kommentar
Die ausgeprägte Steatose weist auf einen aktuell bestehenden Alkoholabusus hin. Die breiten Bindegewebssepten sind typisch für die aethylisch bedingte Zirrhose.
Bilder Typ
Histologie
Vergrösserung
100
Alter
48
Geschlecht
männlich
Datum
Ersteintrag: 06.10.2002
Update: 04.02.2024