PathoPic – image database / PathoPic ID 4549 - aethylische Leberzirrhose

de
Diagnose
aethylische Leberzirrhose
Diagnose Gruppe
Therapiefolgen
Topographie
Leber
Topographie Gruppe
Leber, Gallenwege, Pankreas
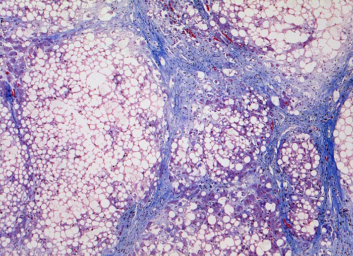
Beschreibung
Kleine Parenchymknoten sind von breiten Bindegewebsringen mit lockerem Entzündungsinfiltrat umgeben (Mikronoduläre Zirrhose). Die ursprünglichen Zentralvenen und Portalfelder sind eingemauert in das stark vermehrte, ringförmig angeordnete Bindegewebe. Das knotige Parenchym ist diffus grobtropfig verfettet.
Klinik
Seit Jahren Konsum von 1l Wein täglich
Kommentar
Die Knoten bei einer mikronodulären Zirrhose messen maximal 3mm im Durchmesser.
Bilder Typ
Histologie
Vergrösserung
50
Alter
48
Geschlecht
männlich
Datum
Ersteintrag: 15.04.2002
Update: 04.02.2024