PathoPic – image database / PathoPic ID 4550 - aethylische Leberzirrhose: Mallory-Denk Körper und Steatose

de
Diagnose
aethylische Leberzirrhose: Mallory-Denk Körper und Steatose
Diagnose Gruppe
Therapiefolgen
Topographie
Leber
Topographie Gruppe
Leber, Gallenwege, Pankreas
Beschreibung
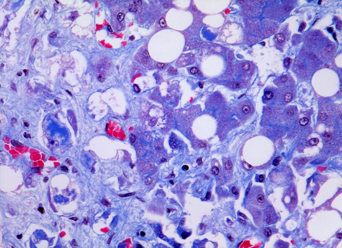
An der Parenchym/Bindegewebsgrenze Hepatozyten mit intrazytoplasmatischen Mallory-Denk Körpern: Irregulär begrenzte, pfützenartige, hirschgeweihartige oder raupenförmige blaue Zytoplasmastrukturen. Andere Hepatozyten enthalten eine grosse Fettvakuole, welche den Kern zur Seite verdrängt (grobtropfige Verfettung). Vereinzelt ist eine feintropfige Verfettung nachweisbar mit multiplen intrazytoplasmatischen Fetttropfen.
Klinik
Seit Jahren Konsum von 1l Wein täglich
Kommentar
Mallory Körper entsprechen intrazytoplasmatischen Ablagerungen von kollabiertem Zytoskelett (Intermediärfilamenten), das zusammen mit ubiquitinierten Proteinen wie Heat Shock Proteinen kondensiert. Sie finden sich in nicht verfetteten Hepatozyten und sind typischerweise hirschgeweihförmig. Immunhistochemisch färben sich die Mallory Körper mit Ubiquitin an. Vorkommen von Mallory Körpern bei alkoholischem Leberschaden, Autoimmunhepatitis, Cholestase, Medikamentös toxischem Leberschaden, hepatozellulärem Karzinom, nicht alkoholischer Steatohepatitis, PBC, PSC und Morbus Wilson.
Bilder Typ
Histologie
Vergrösserung
320
Alter
48
Geschlecht
männlich
Datum
Ersteintrag: 12.11.2002
Update: 04.02.2024