PathoPic – image database / PathoPic ID 4552 - Koronarsklerose: Atherom

de
Diagnose
Koronarsklerose: Atherom
Diagnose Gruppe
vaskulär / Durchblutungsstörung
Topographie
Arteria coronaris
Topographie Gruppe
Kardiovaskuläres System
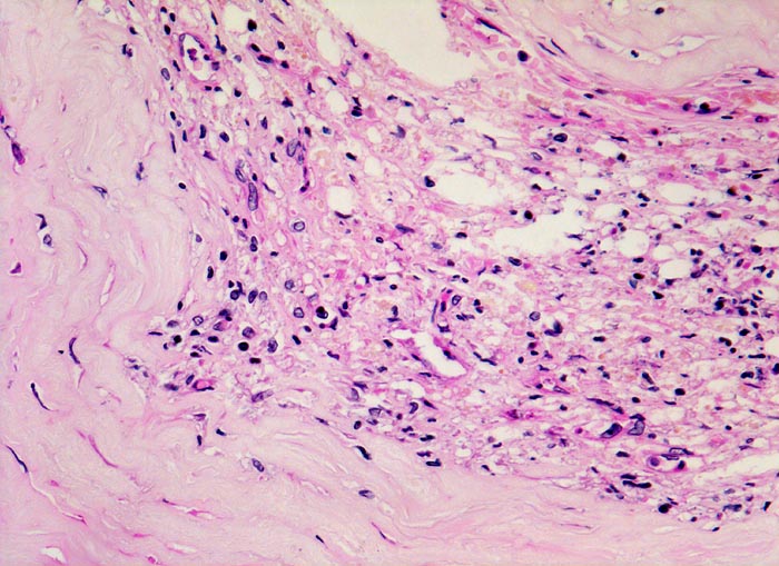
Beschreibung
Ausschnitt aus der sklerosierten Intima mit Atherom: Herd von Granulationsgewebe mit Kapillaren und lockerem Infiltrat von Lymphozyten, Histiozyten und lipidbeladenen Schaumzellen.
Klinik
Subakuter transmuraler Myokardinfarkt. In der Anamnese Nikotinabusus und schlecht eingestellte arterielle Hypertonie.
Bilder Typ
Histologie
Vergrösserung
320
Alter
72
Geschlecht
unbekannt
Datum
Ersteintrag: 21.10.2002
Update: 04.02.2024