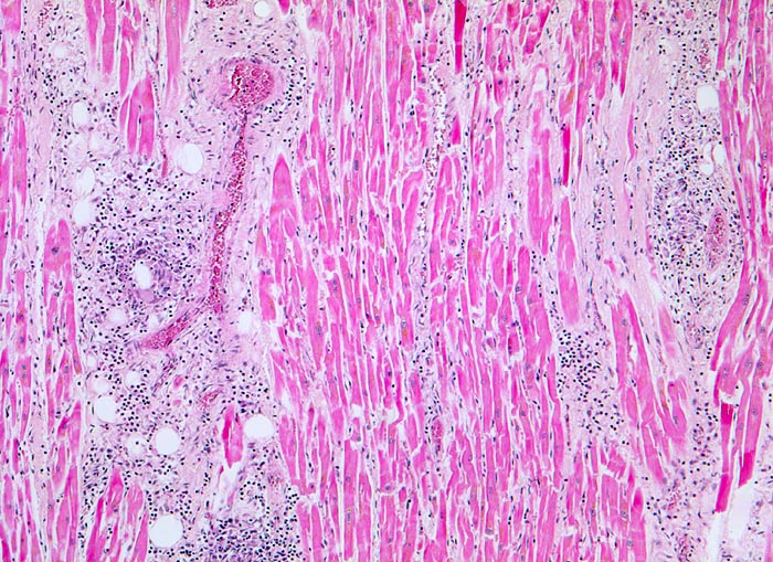
Im Intersitium, besonders perivaskulär und zwischen den Gefässbündeln zahlreiche Herde von gemischten Entzündungsinfiltraten.
Klinik
Patientin plötzlich tot im Bett aufgefunden nach mehreren Osteosynthesen. Vorgängig Zeichen einer hyperergischen Reaktion mit Urticaria und Bluteosinophilie.