PathoPic – image database / PathoPic ID 4565 - interstitielle Myokarditis

de
Diagnose
interstitielle Myokarditis
Diagnose Gruppe
Therapiefolgen
Topographie
Herz links
Topographie Gruppe
Kardiovaskuläres System
Beschreibung
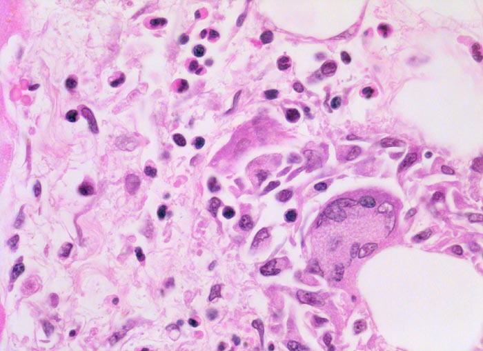
Ödematöses Intersitium mit lockerem Infiltrat bestehend aus Lymphozyten, zahlreichen Histiozyten und Granulozyten. Mehrere Riesenzellen umgeben von Histiozyten.
Klinik
Patientin plötzlich tot im Bett aufgefunden nach mehreren Osteosynthesen. Vorgängig Zeichen einer hyperergischen Reaktion mit Urticaria und Bluteosinophilie.
Bilder Typ
Histologie
Vergrösserung
400
Alter
77
Geschlecht
unbekannt
Datum
Ersteintrag: 13.07.2002
Update: 04.02.2024