PathoPic – image database / PathoPic ID 4578 - chronische lymphozytäre Thyreoiditis Hashimoto

de
Diagnose
chronische lymphozytäre Thyreoiditis Hashimoto
Diagnose Gruppe
Systemerkrankung/Immunpathologie
Topographie
Schilddrüse
Topographie Gruppe
Endokrinium
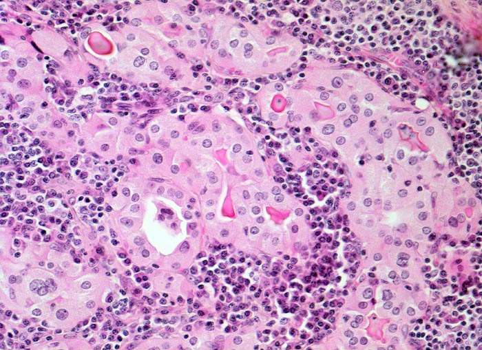
Beschreibung
Mikrofollikuläres Schilddrüsenparenchym mit wenig Kolloid. Das Parenchym wird infiltriert und partiell zerstört durch ein dichtes plasmazellreiches Entzündungsinfiltrat. Die Epithelzellen sind kubisch und fallen durch ein vermehrtes fein granuliertes, rötliches Zytoplasma auf (onkozytäre Epitheltransformation). Die kleinen Follikellumina enthalten nur wenig kondensiertes Kolloid.
Klinik
Die Patientin sucht den Hausarzt auf wegen leichter Schmerzen am Hals rechts. Symptome einer Schilddrüsendysfunktion sind auch auf gezielte Anfrage hin nicht vorhanden. Die Schilddrüse ist deutlich vergrössert. Die laborchemischen Untersuchungen ergeben eine pathologisch erhöhte Konzentration der Peroxidase- und Thyreoglobulin-Antikörper. Die Serumwerte für T4 und T3 sind normal, der Wert für TSH ist erhöht. Die Indikation zur Thyreoidektomie wird wegen der deutlichen Struma gestellt.
Bilder Typ
Histologie
Vergrösserung
50
Alter
46
Geschlecht
unbekannt
Datum
Ersteintrag: 06.05.2002
Update: 04.02.2024