PathoPic – image database / PathoPic ID 4580 - chronische lymphozytäre Thyreoiditis Hashimoto

de
Diagnose
chronische lymphozytäre Thyreoiditis Hashimoto
Diagnose Gruppe
Systemerkrankung/Immunpathologie
Topographie
Schilddrüse
Topographie Gruppe
Endokrinium
Beschreibung
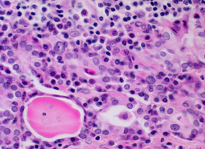
Zahlreiche Lymphozyten und Plasmazellen infiltrieren das interfollikuläre Stroma und das Follikelepithel. Das Follikelepithel ist am reichlich vorhandenen hellen Zytoplasma erkennbar. Kolloid ist teilweise nur noch spärlich oder gar nicht mehr vorhanden. Plasmazellen sind im Zytoplasma von Thyreozyten nachweisbar.
Klinik
Die Patientin sucht den Hausarzt auf wegen leichter Schmerzen am Hals rechts. Symptome einer Schilddrüsendysfunktion sind auch auf gezielte Anfrage hin nicht vorhanden. Die Schilddrüse ist deutlich vergrössert. Die laborchemischen Untersuchungen ergeben eine pathologisch erhöhte Konzentration der Peroxidase- und Thyreoglobulin-Antikörper. Die Serumwerte für T4 und T3 sind normal, der Wert für TSH ist erhöht. Die Indikation zur Thyreoidektomie wird wegen der deutlichen Struma gestellt.
Bilder Typ
Histologie
Vergrösserung
400
Alter
46
Geschlecht
unbekannt
Datum
Ersteintrag: 06.05.2002
Update: 04.02.2024