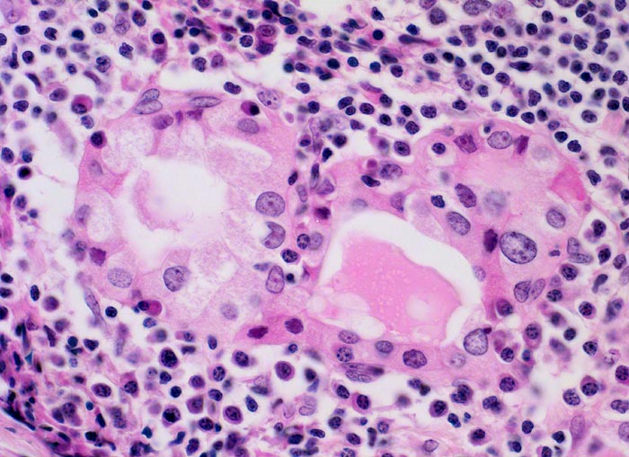
Lymphozyten und Plasmazellen infiltrieren das interfollikuläre Stroma und das Follikelepithel. Die Epithelzellen sind kubisch und fallen durch ein fein granuliertes, rötliches Zytoplasma auf (onkozytäre Epitheltransformation). Die Epithelzellkerne sind reaktiv vergrössert und enthalten mehrere kleine Nukleolen. Einzelne Lymphozyten und Plasmazellen sind im Zytoplasma von Thyreozyten nachweisbar.
Klinik
Die Patientin sucht den Hausarzt auf wegen leichter Schmerzen am Hals rechts. Symptome einer Schilddrüsendysfunktion sind auch auf gezielte Anfrage hin nicht vorhanden. Die Schilddrüse ist deutlich vergrössert. Die laborchemischen Untersuchungen ergeben eine pathologisch erhöhte Konzentration der Peroxidase- und Thyreoglobulin-Antikörper. Die Serumwerte für T4 und T3 sind normal, der Wert für TSH ist erhöht. Die Indikation zur Thyreoidektomie wird wegen der deutlichen Struma gestellt.