PathoPic – image database / PathoPic ID 4583 - Invasives Plattenepithelkarzinom der Zervix

de
Diagnose
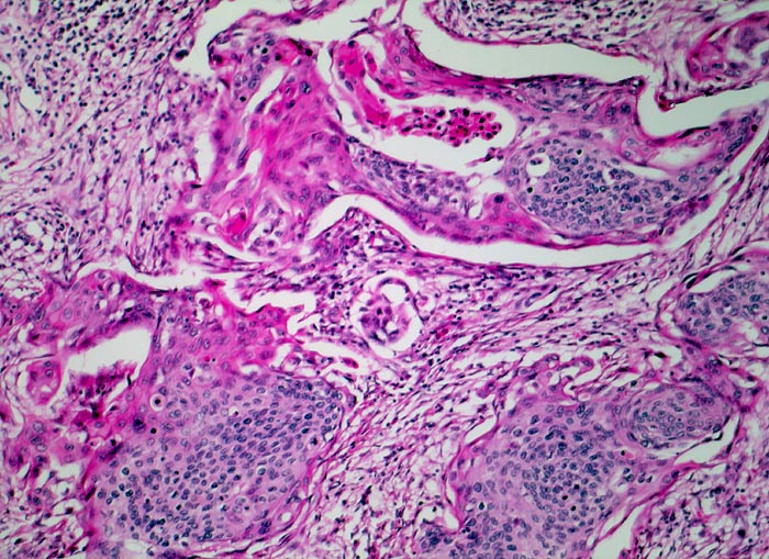
Invasives Plattenepithelkarzinom der Zervix
Diagnose Gruppe
maligner Tumor
Topographie
Zervix
Topographie Gruppe
Genitalorgane, weiblich
Beschreibung
Unregelmässig begrenzte Tumorzellstränge liegen in einem lockeren desmoplastischen Tumorstroma. Ein Teil der Tumorzellen zeigt eine deutliche plattenepitheliale Differenzierung mit reichlich hypereosinophilem Zytoplasma.
Klinik
Im Portioabstrich anlässlich einer gynäkologischen Kontrolle Pap V, Hysterektomie
Bilder Typ
Histologie
Vergrösserung
100
Alter
41
Geschlecht
unbekannt
Datum
Ersteintrag: 06.05.2002
Update: 04.02.2024