PathoPic – image database / PathoPic ID 4589 - Osteochondrom: Enchondrale Ossifikation

de
Diagnose
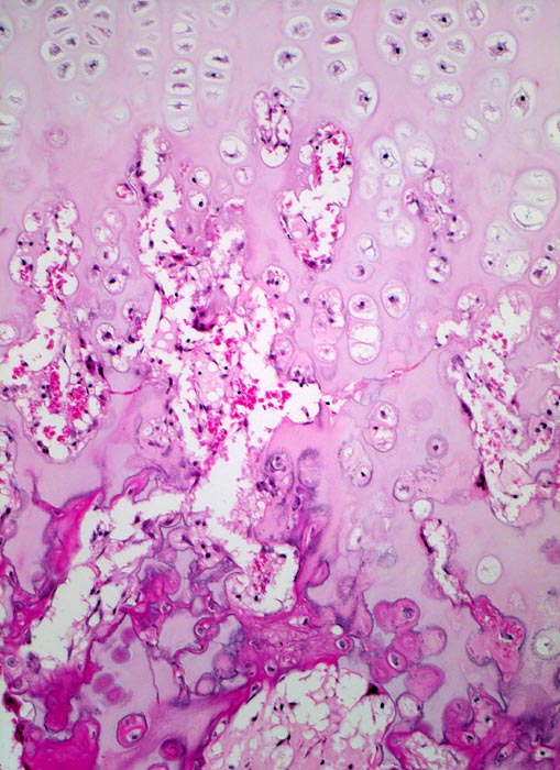
Osteochondrom: Enchondrale Ossifikation
Diagnose Gruppe
benigner Tumor
Topographie
Knochen, Femur
Topographie Gruppe
Knochen, Knorpel, Gelenke
Beschreibung
Übergang der hyalinen Knorpelkappe in den knöchernen Stiel über eine enchondrale Ossifikationszone ähnlich wie in der Epiphysenfuge: grossblasiger Säulenknorpel wird gefolgt von der Verkalkungszone mit verkalkter Knorpelmatrix. In der Eröffnungszone resorbieren mehrkernige Chondroklasten einen Teil der verkalkten knorpligen Grundsubstanz. In der Ossifikationszone scheiden Osteoblasten auf den stehengebliebenen verkalkten Knorpelbälkchen Osteoid ab, welches schliesslich verkalkt.
Klinik
Geringe, gelegentlich mechanisch störende schmerzlose Schwellung an der Innenseite des Oberschenkels kurz oberhalb des Knies.
Bilder Typ
Histologie
Vergrösserung
100
Alter
12
Geschlecht
männlich
Datum
Ersteintrag: 05.05.2002
Update: 04.02.2024