PathoPic – image database / PathoPic ID 4590 - Osteochondrom: Enchondrale Ossifikation

de
Diagnose
Osteochondrom: Enchondrale Ossifikation
Diagnose Gruppe
benigner Tumor
Topographie
Knochen, Femur
Topographie Gruppe
Knochen, Knorpel, Gelenke
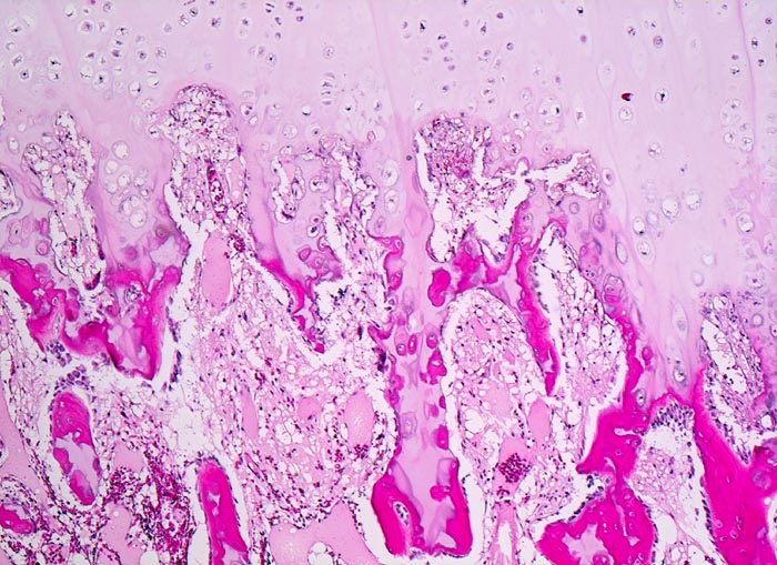
Beschreibung
Übergang der hyalinen Knorpelkappe in den knöchernen Stiel über eine enchondrale Ossifikationszone. Die verkalkte Knorpelgrundsubstanz wird teilweise abgebaut und durch Osteoid ersetzt. Das Osteoid wird gebildet von zahlreichen Osteoblasten, welche dem neugebildeten Knochen aufsitzen.
Klinik
Geringe, gelegentlich mechanisch störende schmerzlose Schwellung an der Innenseite des Oberschenkels kurz oberhalb des Knies.
Bilder Typ
Histologie
Vergrösserung
50
Alter
12
Geschlecht
männlich
Datum
Ersteintrag: 05.05.2002
Update: 04.02.2024