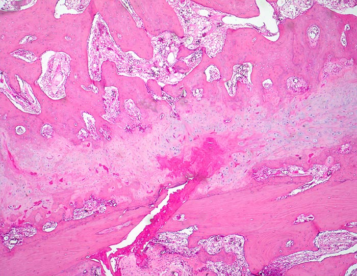
Frakturspalt mit Fibrinablagerungen. Ein Frakturkallus aus Knorpel und Knochen überbrückt den Spalt und stabilisiert diesen. Die Trabekel des knöchernen Kallus sind senkrecht zur Knochenachse ausgerichtet.
Klinik
Konservativ behandelte Rippenfraktur nach Sturz vor einem Monat.