PathoPic – image database / PathoPic ID 4603 - Osteosklerose bei Coxarthrose: Eburnisation

de
Diagnose
Osteosklerose bei Coxarthrose: Eburnisation
Diagnose Gruppe
Trauma / mechanischer Schaden
Topographie
Knochen, Femurkopf
Topographie Gruppe
Knochen, Knorpel, Gelenke
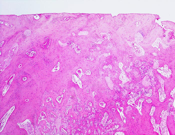
Beschreibung
Teilvergrösserung: Osteosklerose (Eburnisation) des subchondralen freiliegenden Knochens mit deutlicher Verdichtung der Knochenstruktur. In der Gelenkfläche mehrere kleine Bezirke mit Faserknorpel, der metaplastisch entstanden ist.
Klinik
74-jährige leicht adipöse Patientin mit Anlaufschmerz, belastungsabhängigem Schmerz und zunehmender Versteifung im Hüftgelenk. Im Röntgenbild des Hüftgelenks zeigen sich eine Gelenkspaltverschmälerung, subchondrale Osteolysen, Usuren und randständige Osteophyten.
Kommentar
Eburnisation = elfenbeinartige Umwandlung des Knochens
Bilder Typ
Histologie
Vergrösserung
25
Alter
74
Geschlecht
unbekannt
Datum
Ersteintrag: 06.10.2002
Update: 04.02.2024