PathoPic – image database / PathoPic ID 4612 - chronische polypöse Rhinitis

de
Diagnose
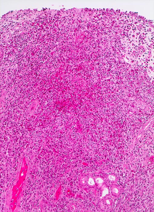
chronische polypöse Rhinitis
Diagnose Gruppe
Entzündung / Reparatur
Topographie
Nasenschleimhaut
Topographie Gruppe
Kopf & Hals, Sinnesorgane
Beschreibung
Einzelne seromuköse Schleimdrüsen und sehr dichtes gemischtes Entzündungsinfiltrat im vermehrten Stroma.
Klinik
Patient mit nicht allergischem Asthma klagt über chronische dumpfe Kopfschmerzen und behinderte Nasenatmung. Bei der anterioren Rhinoskopie sind multiple Polypen der Nasenschleimhaut im Bereich des mittleren Meatus sichtbar.
Bilder Typ
Histologie
Vergrösserung
100
Alter
44
Geschlecht
männlich
Datum
Ersteintrag: 06.05.2002
Update: 04.02.2024