PathoPic – image database / PathoPic ID 4613 - chronische polypöse Rhinitis

de
Diagnose
chronische polypöse Rhinitis
Diagnose Gruppe
Entzündung / Reparatur
Topographie
Nasenschleimhaut
Topographie Gruppe
Kopf & Hals, Sinnesorgane
Beschreibung
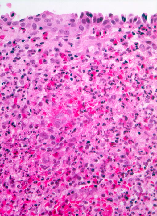
Das Zellen des respiratorischen Epithels weisen aufgrund der schweren Entzündung reaktiv vergrösserte Kerne mit Nukleolen auf. Das Stroma ist massiv entzündlich infiltriert. Es überwiegen eosinophile Granulozyten mit rotem granulärem Zytoplasma. Daneben finden sich Plasmazellen, neutrophile Granulozyten und (myo)fibroblastäre Zellen.
Klinik
Patient mit nicht allergischem Asthma klagt über chronische dumpfe Kopfschmerzen und behinderte Nasenatmung. Bei der anterioren Rhinoskopie sind multiple Polypen der Nasenschleimhaut im Bereich des mittleren Meatus sichtbar.
Kommentar
Eosinophile Granulozyten sind die am häufigsten in Nasenpolypen identifizierten Entzündungszellen. Sie sind in 80-90% der Polypen nachweisbar. Eosinophile Granulozyten, die bei Patienten mit Asthma und Allergien nachgewiesen werden, enthalten Granula mit toxischen Produkten. Diese sind verantwortlich für die Epithelschädigung, Nervenschädigung und Ziliostase. Glukokortikoide haben einen günstigen Einfluss auf Nasenpolypen mit Gewebseosinophilie.
Bilder Typ
Histologie
Vergrösserung
320
Alter
44
Geschlecht
männlich
Datum
Ersteintrag: 06.05.2002
Update: 04.02.2024