PathoPic – image database / PathoPic ID 4614 - chronische polypöse Rhinitis

de
Diagnose
chronische polypöse Rhinitis
Diagnose Gruppe
Entzündung / Reparatur
Topographie
Nasenschleimhaut
Topographie Gruppe
Kopf & Hals, Sinnesorgane
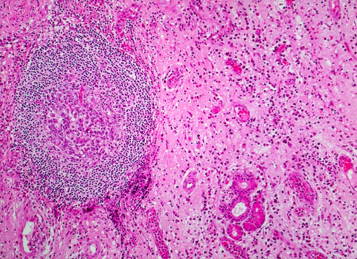
Beschreibung
Vermehrtes ödematöses Stroma mit spindeligen Fibrozyten und gemischtem Entzündungsinfiltrat. Lymphfollikel mit Keimzentrum. Blutgefässe gefüllt mit Erythrozyten und Entzündungszellen. Seromuköse Drüse der Nasenschleimhaut.
Klinik
Patient mit nicht allergischem Asthma klagt über chronische dumpfe Kopfschmerzen und behinderte Nasenatmung. Bei der anterioren Rhinoskopie sind multiple Polypen der Nasenschleimhaut im Bereich des mittleren Meatus sichtbar.
Bilder Typ
Histologie
Vergrösserung
100
Alter
44
Geschlecht
männlich
Datum
Ersteintrag: 06.05.2002
Update: 04.02.2024