PathoPic – image database / PathoPic ID 4620 - Adenokarzinom der Prostata: Nervenscheideninvasion

de
Diagnose
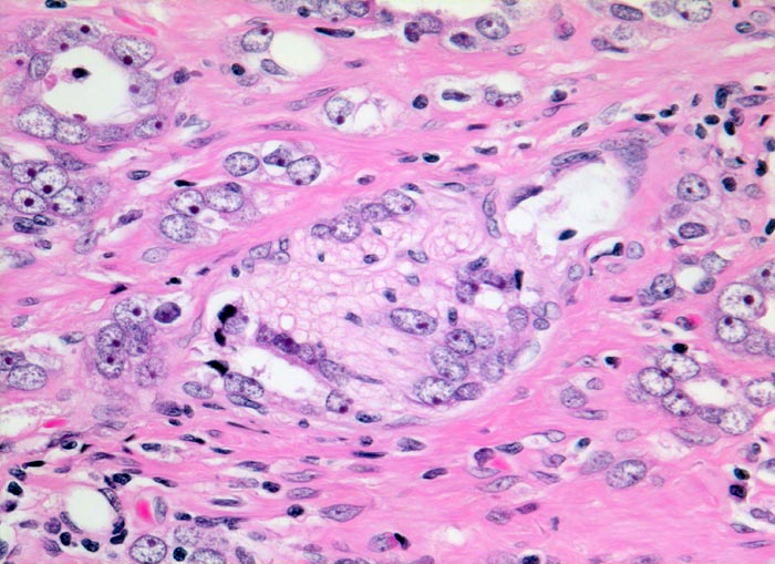
Adenokarzinom der Prostata: Nervenscheideninvasion
Diagnose Gruppe
maligner Tumor
Topographie
Prostata
Topographie Gruppe
Genitalorgane, männlich
Beschreibung
Das Karzinom bildet an dieser Stelle kleine schlecht geformte Drüsen entsprechend einem Gleason Grad 4. Die Tumorzellen zeigen hier deutliche Nukleolen. Einzelne Karzinomdrüsen infiltrieren die Perineuralscheide eines peripheren Nerven.
Zusatzbefund
Leicht vergrösserte Prostata. Makroskopisch sind die Karzinomherde als peripher gelegene unscharf begrenzte gelbliche Herde erkennbar. Diese sind palpatorisch derber als das übrige Parenchym.
Klinik
Aufgrund eines deutlich erhöhten PSA Wertes anlässlich einer Screeninguntersuchung wurde die Prostata biopsiert. In 4 von 6 Stanzbiopsien von beiden Seiten waren Karzinominfiltrate nachweisbar. Daraufhin erfolgte eine radikale Prostatektomie.
Kommentar
Adenokarzinome der Prostata liegen bevorzugt in der Aussendrüse, wo auch die peripheren Nerven lokalisiert sind. Eine Invasion der Perineuralscheiden lässt sich in fortgeschrittenen Karzinomen oft nachweisen.
Bilder Typ
Histologie
Vergrösserung
320
Alter
64
Geschlecht
männlich
Datum
Ersteintrag: 22.12.2002
Update: 04.02.2024